Смертельный сюрприз природы: паразит заразил человека раком. Как это возможно?

9
22 марта 2026 в 8:00
Автор: Сергей Сергеев. Фото: Peter Olson, Natural History Museum

Смертельный сюрприз природы: паразит заразил человека раком. Как это возможно?

Автор: Сергей Сергеев. Фото: Peter Olson, Natural History Museum
РАЗЫГРЫВАЕМ ИГРОВОЙ ПКСкачай приложение Каталога и нажми «Участвовать» до 21.06.2026

Более десяти лет назад, в 2013-м, колумбийские медики столкнулись с весьма необычным случаем в своей практике (да и, как выяснилось позже, в мировой). В их поле зрения оказался 41-летний мужчина, который обратился в больницу в действительно плохом состоянии. У пациента тогда зафиксировали недостаток веса, высокую температуру, у него наблюдались проблемы с дыханием. Позже у колумбийца нашли эндопаразитов — карликовых цепней Hymenolepis nana.

Мужчина (назовем его Диего — это вымышленное имя) до того обращения к медикам не был здоровым человеком. В начале нулевых ему поставили диагноз «ВИЧ», однако это не стало смертным приговором: при должном внимании и с приемом антиретровирусной терапии можно продолжать вести нормальный образ жизни.

Диего поступил в один из госпиталей в колумбийском Медельине. Фото: GoTripzi

Правда, по причинам, которые не уточняются, за некоторое время до обращения к врачам Диего прекратил прием лекарств. Это, видимо, и стало одним из факторов, приведших к ухудшению его состояния: значительно ослабленная иммунная система перестала справляться со своими задачами.

Исследования продолжались, и вскоре специалисты пришли к неутешительным выводам: у колумбийца развился рак. Злокачественные новообразования обнаружили в легких, что и привело к проблемам с дыханием, а также в печени и надпочечниках — самые крупные из них были около 4 сантиметров. К тому же лимфатические узлы на шее мужчины увеличились до размеров мячей для гольфа — Диего не мог нормально двигать головой.

Выбор покупателей
инфракрасный, лобный/бесконтактный способ измерения, результат: 3 сек, память: с указанием времени/30 измерений
БАД, от простуды, для иммунитета, Германия

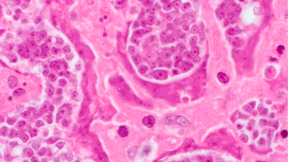
Проведенная биопсия подтвердила опасения, однако вызвала у медиков только вопросы: взятая для пробы ткань выглядела странно. Дальнейший анализ показал, что клетки слишком маленькие для человеческих тканей (примерно десятая часть их размера), а потому они как будто не могли принадлежать Диего. Но кому тогда?

Фото: RDNE Stock Project

Исследуя полученные данные, колумбийские врачи предположили, что клетки новообразования представляют собой не слишком понятный микс из человеческих клеток и «чего-то еще, вероятно, паразитарного происхождения».

Такую точку зрения озвучил доктор Карлос Агудело из Папского Боливарианского университета. Однако Агудело и его колумбийские коллеги не стали делать окончательные выводы и решили обратиться за помощью в отделение патологий и инфекционных заболеваний при Центрах по контролю и профилактике заболеваний США (ЦКЗ).

Карлос Агудело

«Это не имело никакого смысла», — комментировал позже результаты анализов доктор Атис Мюленбахс из ЦКЗ, который и помогал колумбийским коллегам разбираться с историей. Были озвучены новые теории, согласно одной из которых произошли необъяснимые изменения структуры человеческих клеток, из-за которых они… уменьшились.

Более того, американские эксперты поначалу не были уверены и в том, что речь вообще идет именно о раковых клетках: слишком необычно они выглядели. Однако в одном вопросе они согласились с теорией специалистов из Колумбии: похоже, клетки действительно имеют что-то общее с простейшими (Protozoa) и потому, не исключено, паразитами.

Для получения дополнительных данных было принято решение провести ДНК-анализ тканей, который и позволил значительно продвинуться в исследовании. «Это был „ага-момент“, — рассказывал Мюленбахс. — В голове тогда стрельнуло: господи, да это же ленточный червь». Правда, открытие не дало ответов — напротив, оно вызвало очередную череду вопросов, главные из которых — что вообще произошло и как?

Атис Мюленбахс

«Это выглядело как научная фантастика. Мы не могли даже подумать, что это возможно», — добавил эксперт ЦКЗ.

Одна из причин называть произошедшее научной фантастикой связана с тем, что злокачественные образования в организме Диего состояли из клеток H. nana. «На тот момент у нас не было никаких доказательств того, что злокачественное новообразование трансформировало собственные клетки пациента», — говорил Мюленбахс.

H. nana считается одним из наиболее распространенных в человеческой популяции паразитов подобного плана: предполагается, что его носителями является около 75 млн человек. Обычно заражение яйцами карликовых цепней происходит через загрязненную пищу в странах, где к гигиене относятся спустя рукава. Однако иммунная система здорового человека подавляет деятельность этих тварей — по этой причине развитие раковых клеток считается невозможным или маловероятным.

«Мы знали, что у беспозвоночных могут образовываться раковые опухоли, однако тот факт, что они могут распространяться в организме человека, приводя к заболеванию, не поддается осмыслению», — комментировал Мюленбахс.

Медики предположили, что наличие ВИЧ в анамнезе Диего лишило его организм возможности бороться с H. nana и клетки паразита как-то «интегрировались» в ткани его организма, что затруднило поиск причин их возникновения.

H. nana

К тому же, отмечал биолог Музея естественной истории в Лондоне Питер Олсон, из тысяч описанных наукой видов ленточных червей лишь карликовые цепни приспособились жить и развиваться исключительно в кишечнике человека, воспроизводя потомство в кале. То есть Диего «посчастливилось» заразиться неподходящим видом.

Олсон привел примеры из своей практики, когда простейшие стали причиной смерти двух пациентов: один был носителем СПИДа, второй принимал иммунодепрессанты после пересадки донорского органа. Оба погибли из-за сниженного иммунитета и заражения паразитами. Правда, в тех случаях о передаче рака от паразита к человеку не задумались, потому Диего стал, вероятно, первой подтвержденной жертвой.

Питер Олсон

Олсон предполагает, что процесс в организме колумбийца занял некоторое время: сменилось много поколений H. nana, которые постепенно накапливали мутации, и в определенный момент стволовые клетки личинок дали сбой. Итогом стали раковые образования паразита. Некоторые из поврежденных генов оказались идентичными человеческим, что и позволило им внедриться в измененном — «испорченном» — виде в организм носителя. Печальным итогом стало развитие у Диего злокачественных новообразований.

«Это показывает, что злокачественная трансформация, будь то в наших собственных клетках или в клетках паразитического червя, может быть результатом мутаций одних и тех же генов», — предполагает эксперт.

Врачи отмечают, что шансов выздороветь или пойти на поправку у Диего не было: спустя примерно полгода (по другим данным, около четырех месяцев) в больнице у него почти отказали почки, а специалистам оставалось лишь делать его жизнь менее мучительной, попутно ища причины заболевания. Незадолго до смерти колумбийца доктор Карлос Агудело, который по просьбе пациента держал его в курсе происходящего, показал тому чек службы доставки — когда образцы тканей отправили в ЦКЗ.

Образец ткани злокачественного образования. Фото: ЦКЗ

Однако, когда из США пришли результаты, когда стал понятен источник появления раковых образований, Диего умер, отказавшись от дальнейшего лечения.

«Он был так болен и так измотан, так много времени провел в больнице, что потерял любую надежду. Душераздирающая ситуация…» — сказал Мюленбахс. И, по его словам, понимая причину, врачи все еще не знают, можно ли бороться с подобным заражением: будет ли работать химиотерапия, среагирует ли паразит на антибиотики и так далее.

Доктор Джулу Бхатнагар из ЦКЗ, которая является одним из авторов научных публикаций на тему кейса Диего, отметила, что некоторые важные вопросы так и остались без ответа. По ее словам, тогда в лаборатории исследователей не было оборудования для глубокого секвенирования всего генома H. nana. С его помощью эксперты могли бы точно определить, был у червя рак или мутировавшие гены, вызвавшие его, а так все остается в формате гипотез и предположений или ответов не со стопроцентной точностью. После смерти Диего ткани его тела не сохранились для будущих возможных экспертиз.

Джулу Бхатнагар

«В некоторой степени загадка разгадана — тем не менее, остаются вопросы без ответа. Однако я настроена оптимистично: если эксперты из разных областей будут работать вместе, то однажды мы найдем все ответы», — заявила эксперт.


Карлос Агудело, Атис Мюленбахс и Дэвид Релман из Palo Alto Health Care System считают, что подобные случаи могли фиксироваться и раньше. На это указывают публикации в медицинских журналах The Lancet в 1996 году и Journal of Infectious Diseases в 2003-м.

В одном из случаев пациент умер от лимфомы (это группа гематологических заболеваний), и тогда патологоанатом также предположил, что раковые новообразования не состояли из человеческих клеток. Эксперты не исключают: подобные случаи происходили раньше и происходят сейчас, однако из-за невнимательности или недостатка информации их могут причислять к «обычным» раковым заболеваниям.

Выбор покупателей
Onlíner рекомендует
синхронизация с Android/iOS, экран TFT 1.47", поддержка SIM-карты: нет, пульсометр, измерение кислорода в крови, Bluetooth 5.3, корпус: пластик, ремешок: силикон
комплекс, препараты витамина Д, Германия

Есть о чем рассказать? Пишите в наш телеграм-бот. Это анонимно и быстро

Перепечатка текста и фотографий Onlíner без разрешения редакции запрещена. ga@onliner.by